Service with a Smile!
Smile Design
The term smile design applies to the enhancement of a smile using a combination of methods.
A patient’s eyes, lip line, gum tissue contour and face, are all considered when a new smile is designed individually. We assess and redesign your smile taking into account your personality, shape of the face, size and shade of the teeth.
With ceramic veneers or crowns, composites fillings, gum contouring, teeth whitening, and implants( for missing teeth) , a million-dollar smile can be a reality.
Client Advantages at Dr. Potdar’s Clinic
- Part of your initial exam at our office includes a Smile analysis. Our team would be happy to discuss the options available for providing you with the smile you have always dreamed of.
- Initially Smile Design consists of a series of records that include: a complete dental examination, radiographs (X-rays), digital photographs, and impressions for study models. With this information, our team will create a Diagnostic Wax Up. The Wax up is the blue-print and starting point to your new smile .
- We will proceed to the preparation stage of treatment depending upon the choice of treatment options.
Treatment options are…..
1)Veneers and Laminates
Laminates are thin shells of tooth-coloured, translucent ceramics which are custom made and bonded over the teeth to improve their colour, shape and overall appearance.
Placement of dental veneers is sometimes referred to as “instant orthodontics” because they can be used to cover a variety of dental problems involving teeth in the “smile zone”
For example:
- Spaces between the teeth.
- Broken or chipped teeth.
- Unsightly or stained fillings.
- Poorly shaped or crooked teeth.
- Permanently externally stained and/or internally stained teeth.
Dental veneers can improve the appearance of the teeth but they cannot realign the jaw or correct malocclusion. Orthodontics are required to correct these more complicated problems.
Ceramic or Porcelain Veneers
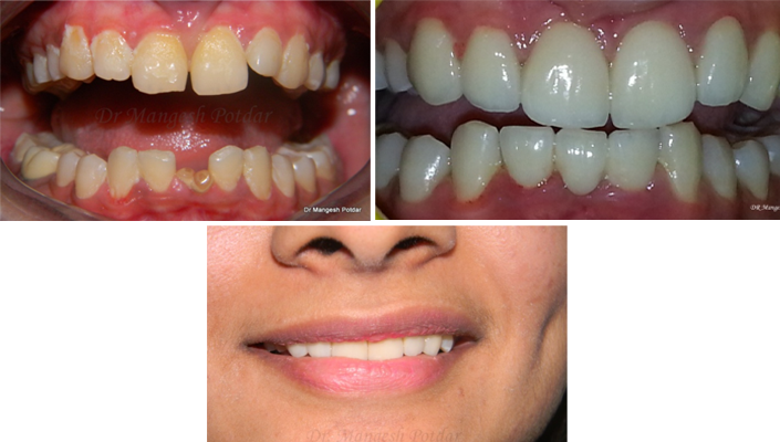
Case 1: Smile Makeover by Ceramic
Veneers

Case 2: Smile Design for mal-aligned and over-retained deciduous teeth.

Case 2: Smile after closure of multiple spaces by Ceramic Laminates

Case 3: Smile after replacement
of old veneers.

Case 4: Smile Makeover of discoloured teeth by ceramic veneers

Composite Veneers
The closest conservative cosmetic alternative to ceramic laminates are composite resins. Composite resin is a tooth-colored filling material that may be used to form dental veneers. They are made at the chair-side and can be accomplished in a single visit.
Case 1: Smile makeover of badly shaped teeth by composite veneers

Case 2: Smile after correction of mutilated teeth by composites veneers

Comparative Analysis of Ceramic laminates and composite Veneers
Ceramic Veneers | Composite Veneers |
---|---|
Durable and long lasting | They last long but not as durable as ceramic veneers. |
Life-like and natural appearance due to translucent properties of material. | May stain or discolour |
Resist staining | |
Minimal tooth reduction required | Minimal tooth reduction required |
Good choice for multiple space closure | Good choice for chipped teeth. |
Ceramic veneers require two dental visits. Ceramic veneer are fabricated in a dental laboratory and therefore require at least two visits | Composite veneer can be accomplished in one dental visit Duration of treatment around 2 to 3 hours, depending on the amount of work required |
Ceramic veneers are relatively expensive than composite veneers. | Composite veneer are relatively cheaper when compared to ceramic veneer |
It cannot be repaired. | It can be repaired if damaged. |
Smile design is our passion. We focus heavily on the latest Smile Design techniques, materials and technology and invest on study of Aesthetic dentistry in order to create that perfect Smile. Our goal is to redesign your smile so that it is beautiful, strong and natural looking and also suits you.
While you are looking for a smile makeover, we design a smile that defines you