Vote for Life-long health
Implant Dentistry
In the distant past it was common to lose most of your teeth at an early age. Now although this is less common there are many reasons why people still lose their teeth, these ranging from trauma, tooth decay, gum disease or simply old age. Whatever be the reason for losing your teeth, they need to be replaced, both for aesthetic and functional reasons. Earlier the only options available were dentures and bridges. Today, however Implant Dentistrys are becoming popular as the most sought after treatment option as they provide long term solutions by preserving the bone and surrounding healthy tissue.
What is a Implant Dentistry?
- A implant dentistry is an artificial substitute for root portion of the natural tooth. It is usually made of titanium metal which is biocompatible, i.e. it is well tolerated by the tissues.
- They are a simple, secure and permanent solution for missing teeth.
- Replacing the missing teeth by means of implants will provide you with comfort, function and aesthetics for better phonetics and mastication.

Advantages of Implant Dentistry
- A very high success rate.
- Better stability and retention as compared to conventional complete denture
- Better aesthetics
- Adjacent tooth grinding is avoided
- Prevents loss of bone in the edentulous areas (where teeth have been removed) .
- Improved self esteem and quality of life.
Is everyone a Candidate for Implant?
- Most healthy patients those who maintain good oral hygiene are suitable candidates for implant dentistrys.
- Investigations like CBCT need to be performed to evaluate the bone status. At the consultation appointment, a complete examination will be performed and you will be informed of the overall condition of your case and the options you may have for replacement of missing teeth with implant dentistrys.
- implant dentistrys can be placed in patients of any age (with fully developed jaw bones), provided sufficient quality and quantity of bone is available .
- Technological advances have allowed resolution of difficult cases. Thus, anyone healthy enough to undergo routine tooth extraction or oral surgery is probably able to receive a implant dentistry.
Is everyone a Candidate for Implant?
- Most healthy patients those who maintain good oral hygiene are suitable candidates for implant dentistrys.
- implant dentistrys can be placed in patients of any age (with fully developed jaw bones), provided sufficient quality and quantity of bone is available .
- Investigations like CBCT need to be performed to evaluate the bone status. At the consultation appointment, a complete examination will be performed and you will be informed of the overall condition of your case and the options you may have for replacement of missing teeth with implant dentistrys.
- Technological advances have allowed resolution of difficult cases. Thus, anyone healthy enough to undergo routine tooth extraction or oral surgery is probably able to receive a implant dentistry.
Services we provide in Implant dentistry.
Implant supported crowns and bridges
- Implants are used to replace one or more missing teeth. They are single or multiple implants on which crowns or bridges are fixed.
- With an implant supported crowns, the restorations are independent of any other teeth as no support is required of the adjacent teeth, and the natural teeth need not be prepared or altered in any way.
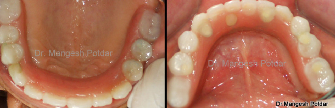
Case of Implant supported crown
Implant supported dentures
a) Hybrid Dentures
- Hybrid dentures are supported on implants with the denture being screwed securely into place.
- They have some components of a denture (such as gum tissue), but being fixed they cannot be removed by patient.
- They are a perfect solution for those who want to have fixed teeth.
- They provide both, teeth and artificial gums to give you back proper facial support and also offers best aesthetic results.



b)Implant Overdentures
- Implant overdentures are types of dentures that are supported by and attached to Implants.
- This is a great option for denture wearers as it has many advantages:
- They last longer, look good and allow one to eat and speak uninhibited.
- They are held in their place and are very strong, so gone are the fears of loose dentures.
- A regular denture rests on the gums and not on implants. An implant-supported denture has special attachments that snap onto attachments on the implants.
- These dentures are more stable and retentive than conventional dentures.
- An implant-supported denture is used when a person doesn't have any teeth in the jaw, but has enough bone in the jaw to support implants Case of implant supported over-dentures

Client Advantages at Dr.Potdar Clinic
"We believe: 'The only way to predict a future is to build it"
- Our group of well trained and highly experienced Implantologist, Periodontist and Prosthodontist plan and execute implant dentistry procedures employing latest technological advancements and time-tested methods.
- All procedures are performed in a controlled and aseptic environment.
- Detailed examination and investigations are performed with special importance given to treatment planning in order to get predictable results.
- We strive to provide long term benefits to our patients.
- Our patients are valued as individuals and not just cases and we ensure regular free follow ups for their benefit.