Smile with Strength!
Full mouth rehabilitation
Full mouth rehabilitation is a comprehensive dental procedure that aims at altering the look of a patient’s teeth and smile, enhancing his/her occlusion for function and treating problems pertaining to Temporomandibular joint disorder.
The result of the whole process is a pleasant looking smile and a fully functional jaw.

Full-mouth rehabilitation is needed in patients with multiple problems e.g. worn out, broken, missing teeth or if you experience pain in the jaws, headaches, back pain, muscle tenderness or clicking of the jaw .
It involves the use of current technologies to reshape and rebuild one’s teeth, gums and surrounding areas. One or several procedures may be necessary to obtain the desired results. The end result is improved function and aesthetics.
Functional and Aesthetic Make-over
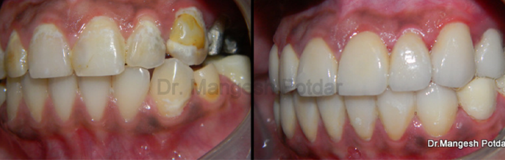
Case 1


Case 2



Full mouth Rehabilitation procedure is carried out at our dental clinic with utmost care and precision ensuring that the end result is a lovely smile and a more confident you.
Case 1: Improved and Confident Smile After Full Mouth Rehabilitation
